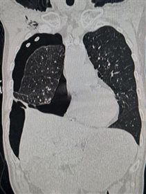
近日,我院外科成功完成一例胸腔镜下肺大疱切除术。该微创手术已成为我科治疗肺大疱的常规术式,患者术后恢复迅速,疗效显著,已于近日康复出院。手术通过一个约3厘米的小孔,解决了困扰患者多年的肺大疱疾病。患者创伤小、恢复快,术后次日即可下床,实现了真正意义上的快速康复。
术前
术后
此次手术的顺利开展,得益于院领导的指导、协调、支持,手术室与麻醉科团队提供了全方位、高标准的紧密协同,以及我院外科团队在微创技术领域的长期积累与创新实践。我院外科将以此为契机,紧跟国内外先进技术,不断优化诊疗流程,以更小的创伤、更快的康复、更优的疗效,服务于广大胸科疾病患者,为提升我院综合诊疗水平贡献力量,为患者提供更加优质、安全、高效的医疗服务。
(撰稿:田建桥 审核:刘玉卿)

