近日,济南市南山人民医院消化内镜团队成功为一名68岁患者实施内镜黏膜下剥离术(ESD),精准完整切除早期胃癌病灶,标志着我院在消化道早癌微创诊疗领域迈出关键一步。
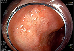
患者赵先生因胃部不适来我院消化内科就诊,消化内科孙主任通过电子胃十二指肠镜检查,发现胃窦小弯侧黏膜粗糙,表面覆少许白苔,取活检4块送检。病理诊断:结合形态及免疫组化符合高级别腺上皮内瘤变。

为缩小创伤范围,同时彻底清除病灶,消化内镜团队经过严谨评估与术前讨论,决定为患者实施ESD微创治疗——这是目前治疗消化道早期癌及癌前病变的先进内镜技术,能在保留器官完整的前提下,实现病灶的完整切除。

手术由经验丰富的内镜医师主刀,在麻醉团队与内镜护理人员的密切配合下顺利开展:
1、精准标记:使用一次性粘膜切开刀于病变外缘标记病变范围;
2、黏膜下注射:予注射针黏膜下注射甘油果糖、亚甲蓝、玻璃酸钠混合液,抬举病灶;
3、环形切开:沿标记点外缘环形切开黏膜层,逐步剥离黏膜下层;
4、精细止血:术中仔细处理黏膜下层血管,使用一次性电热止血钳妥善止血;
5、完整切除:最终将病灶完整剥离,并于内镜直视下植入胃管行胃肠减压,保障术后恢复。
整个手术过程流畅,病灶切除完整,术中出血少,患者生命体征平稳。术后,医护团队严格落实精细化护理方案,根据医嘱要求患者禁食72小时,流质饮食1周,并应用抗生素预防感染、抑酸、保护胃黏膜、补液治疗,密切观察有无出血等并发症。目前患者恢复情况良好,无明显不适,正在稳步康复中。
ESD技术的成功开展,是我院消化内科内镜诊疗水平的重要突破。相比传统外科手术,ESD具有创伤小、恢复快、保留器官功能等显著优势,能让早期胃癌、癌前病变等患者在微创条件下获得根治性治疗,大幅提升了患者的生活质量。
今后,济南市南山人民医院消化内镜将继续深耕微创领域,不断引进新技术、开展新项目,以更精准、更微创、更高效的诊疗服务,为南山百姓的消化道健康保驾护航!
(撰稿:曹贞 审核:刘玉卿)

