7月10日晚上10时,历城区人民医院急诊室门口一名男性患者被搀扶进来,表情非常痛苦。患者自述胸口难受,还伴有一阵阵出汗。听到这些,值班医生李国栋立马想到很可能是心肌梗死,心梗具有致命性的,遇到这种病人关键是及时诊断,及时干预。
李国栋医生立即安排患者行急诊心电图检查,做完心电图,明确为下壁心梗,立即用平车把患者运到抢救室。转运、建立静脉通道、心电监护,一气呵成。在准备为患者进行溶栓时,患者家属商议后,决定转至历城区人民医院的医联体单位济南市中心医院。急诊科立马联系中心医院满艺龙主任并交代好转院事项。此时却出现突发情况!患者还没上救护车,就出现了抽搐,双眼上翻,叹气样呼吸,触摸颈动脉发现波动消失。立即抢救!持续胸外按压,气管插管,气囊辅助通气。经过按压心电监护上出现了室颤波!马上200J电除颤,但没有恢复窦性心律,继续按压,当心电监护再次出现室颤波,又来了一次电除颤。这次患者恢复了窦性心律,查体摸到了颈动脉的搏动。病人手脚开始活动了,有意识了!病人慢慢睡去后,再次交代病情,建议立即溶栓,家属同意后,马上开了溶栓的药,此时患者又出现室颤。在经历了前后7次电除颤加溶栓治疗后,病人的心律稳定,自主呼吸也能维持了。
。
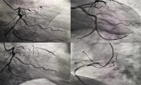
患者病情稳定后,急诊科立即联系中心医院胸痛中心专家,沟通发病经过及抢救过程,转中心医院进一步治疗。因为有了前期的沟通协调,120到达中心医院胸痛中心后,患者第一时间得到接诊。中心医院医生立即给予患者冠脉造影,造影显示溶栓有效,后经冠脉支架植入手术后,病人最终转危为安!

本例凶险的下壁心肌梗死,在历城区人民医院急诊科、120及中心医院胸痛中心的通力合作下,患者得到最快速、最有效的救治,充分体现了医联体平台的优越性,展现了团结协作高效的合作精神。2021年8月,历城区人民医院与济南市中心医院建立医联体合作关系,两院搭建双向转诊绿色通道,形成相对稳定、紧密衔接的双向转诊渠道,现已转诊百余人次。

