冠脉CT和冠脉造影是诊断冠心病的常用检查,二者在检查方式、适用场景上差异明显,可根据病情需求合理选择。

冠脉CT属于无创检查,通过静脉注射造影剂后进行CT扫描,清晰地显示冠状动脉的结构、斑块及狭窄程度。检查便捷、无需住院,门诊即可完成,风险较低,适合作为冠心病初步筛查手段。对于胸闷症状不典型、无明显高危因素、仅需体检排查或术前常规评估的人群,优先选择冠脉CT。但心率过快、严重钙化会影响成像精度,且无法同步进行治疗。

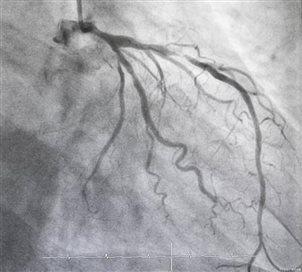
冠脉造影是微创介入检查,经手腕或大腿根部穿刺血管,将导管送至冠状动脉注入造影剂,动态观察血流情况,是诊断冠心病的“金标准”。结果准确可靠,若发现重度狭窄,可同期进行支架植入等治疗。适合症状典型的心绞痛、急性心肌梗死、疑似严重冠脉病变,以及需要制定手术方案的患者。缺点是有创操作,需住院,存在穿刺、出血等轻微风险。

简单来说,筛查、无创、病情较轻选冠脉CT;确诊、需手术、症状危重选冠脉造影。临床需结合症状、危险因素及医生建议,选择最适合的检查方式。
济南市南山人民医院心内科电话:58673213
(撰稿:李志浩 审核:刘玉卿)

