急性阑尾炎是最常见的外科急腹症。据统计,在一般医院中占急腹症首位,占外科住院病人的10-15%。在临床工作中即使有经验的外科医师,临床正确诊断率也只有70%~80%,延误诊断导致穿孔者高达16%~40%,阴性阑尾切除率高达20%~25%*。
近年来,由于层螺旋CT的广泛使用,急性阑尾炎的CT诊断取得很大进展。
1. 急性阑尾炎的病理改变
急性单纯性阑尾炎
急性化脓性阑尾炎
坏疽性及穿孔性阑尾炎
阑尾周围脓肿
2. 急性阑尾炎的临床表现

二、CT能解决什么问题
1. CT检查特点:快捷、准确、无创
及时确定阑尾炎的诊断。
了解阑尾周围炎情况。
排除阑尾炎的诊断。
发现腹内引起阑尾炎类似临床症状的其他病理情况。
2. CT检查方法
全腹/下腹CT平扫
CT平扫+口服造影剂(60min后)
CT平扫+直肠逆行造影
CT增强或同时服用口服造影剂(欧乃派克)
薄层扫描
多方位重建
三、各种病理类型急性阑尾炎的CT表现
1. 急性单纯性阑尾炎
2. 急性化脓性阑尾炎伴周围炎
3. 坏疽穿孔性阑尾炎

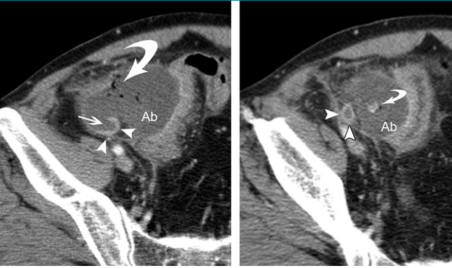
4. 阑尾周围脓肿

四、讨论和总结
阑尾炎典型征象:
阑尾增粗(管腔直径>7mm)
阑尾壁增厚(大于3mm)
阑尾粪石
阑尾周围脂肪内条纹影。
筋膜增厚
回盲部积液
壁增厚(周围小肠及乙状结肠肠壁增厚)
肠梗阻
阑尾壁不连续(特异度100%)--增强扫描
阑尾腔内粪石或对比剂外漏(特异度100%)
阑尾周围游离气体(特异度99~100%)
蜂窝织炎(特异度95~96%)
脓肿形成(特异度98~100%)
五、阑尾炎诊断的误区
胰腺炎沿着腹膜腔侵犯至阑尾
回盲部炎症(憩室炎、盲肠炎)
周围小肠炎症浸润到阑尾
卵巢或盆腔炎症侵犯
阑尾的位置异常误诊为其他疾病

