常见的危急值在MRI上的表现

时间:2021-12-06

      什么是危急值(Critical Values)?

       是指某项或某类检验异常结果,而当此种检验异常结果出现时表明患者可能正处于有生命危险的边缘状态,临床医生需要及时得到检验信息,迅速给予患者有效的干预措施或治疗,就可能挽救患者生命,否则就有可能出现严重后果,失去最佳抢救机会。
       处理流程
      通过电话或医院信息系统及时联系临床医生,汇报其初步诊断结果,并及时出具书面报告及打印相应影像资料,填写危急值报告本。
       虽然MRI很少遇到其危急值,但MRI技师必须了解其常见危急值的MRI表现。下面分享一些日常工作中收集的病例。
MR室常见的危急值项目
      1.循环系统:主动脉夹层和胸腹主动脉瘤(破裂)、大量心包积液(血)。D:-CT-MR室资料新闻稿文件夹微信图片_20211127090743.jpg腰椎MRI扫描时发现的巨大腹主动脉瘤
图片D:-CT-MR室资料新闻稿文件夹微信图片_20211127090758.jpg血管壁内出血及夹层(CTA)
       2.中枢神经系统:脑内(脑干)出血,出血量大于 30ml;蛛网膜下腔出血急性期;大范围脑挫裂伤;急性大面积脑梗死,颅内大动脉瘤,动脉瘤破裂。


D:-CT-MR室资料新闻稿文件夹微信图片_20211127090802.jpg脑干出血
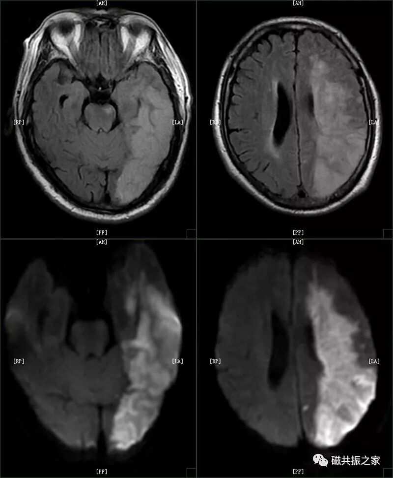
图片D:-CT-MR室资料新闻稿文件夹微信图片_20211127090807.jpg大面积脑梗死
D:-CT-MR室资料新闻稿文件夹微信图片_20211127090812.jpg颅内血肿
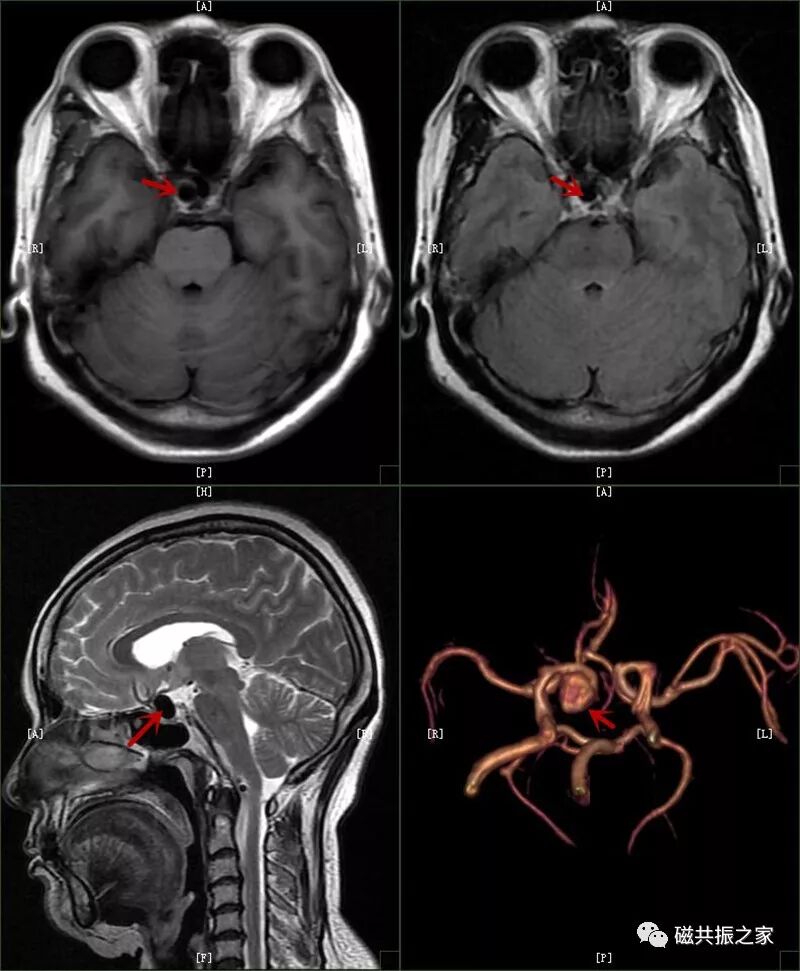
图片D:-CT-MR室资料新闻稿文件夹微信图片_20211127090817.jpg颅内动脉瘤
D:-CT-MR室资料新闻稿文件夹微信图片_20211127090821.jpg颅内动脉瘤并出血
     3.消化系统:食道异物;实质性脏器破裂挫伤出血;胃穿孔;急性坏死性胰腺炎;膈下游离气体;肠扭转。
D:-CT-MR室资料新闻稿文件夹微信图片_20211127090826.jpg急性胰腺炎
D:-CT-MR室资料新闻稿文件夹微信图片_20211127090830.jpg肠梗阻
     4.骨关节:颈椎多发严重骨折;椎体爆裂性骨折并脊髓损伤;骨盆多发骨折;四肢多发开放性骨折。
图片D:-CT-MR室资料新闻稿文件夹微信图片_20211127090833.jpg椎体爆裂性骨折并脊髓损伤
       5.呼吸系统:气管支气管异物;急性肺水肿;气胸, 肺组织压缩 70%以上;严重肺挫伤;重症肺炎(细菌性、病毒性);肺大量咯血。
       6.对比剂过敏、昏迷、休克患者。  

  出现危急值情况时必须第一时间通知临床急诊,第一时间干预。(部分图像文字摘抄于磁共振之家)

   

   

   

   

   

                                       ( 撰稿人:辛波)