深秋初冬,柿子、山楂挂满枝头,怎不让人垂涎?但值得一提的是果实虽甜美,食用需谨慎。近日,济南市南山人民医院影像科接诊了几例胃石症患者,下面就胃石症为大家科普一下。

【何为胃石?】
结石是我们所熟知的,例如胆囊结石、肾结石、输尿管结石等等。除此之外,临床上还有一种相对少见的结石,那就是胃石。顾名思义,就是胃里的结石,是指进食某种食物或药物后,在胃内形成的凝固物或硬块,它既不能被消化,也不能顺利从胃内排出。胃石根据成分不同分为多类,其中植物类结石最常见。
【形成机制】
柿子、山楂中含有鞣酸及树胶、果胶,在胃酸作用下鞣酸与蛋白质结合成鞣酸蛋白,后者与果胶、树胶及纤维素粘合在一起便形成了胃石,高酸环境是胃石形成的条件。

【临床症状】
大量进食山楂、柿子后急性起病,表现为上腹部疼痛、饱胀、恶性呕吐等等,若胃石损伤粘膜可并发溃疡、胃粘膜糜烂,较大胃石还可形成幽门梗阻及肠梗阻,偶有穿孔、腹膜炎。
【胃石影像】
CT表现为边界清晰的椭圆形低密度肿块,斑驳的肿块外观是由于肿块间隙内留有气泡所致。

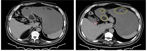
患者男,70岁,进食山楂后出现胃脘部持续性隐痛不适,伴恶心、呕吐,呕吐物为胃内容物,反酸、烧心。CT图示:胃内大量液体影,胃腔扩张,图1箭头示胃石影像,图2黄色圈-胃石,红色圈-胆囊高密度结石。

患者男,68岁,既往胃大部切除术,进食山楂后出现上腹部疼痛,呈持续性绞痛阵发性加重,伴恶心、呕吐,呕吐物为胃内容物。CT图箭头指示结石位于上段空肠,以上胃肠道明显扩张。
【胃石预防】
1、合理饮食:避免空腹或过多食用富含鞣酸的食物,如柿子、山楂、黑枣等。同时,保持均衡饮食,多吃蔬菜水果,少吃油腻食物。
2、适量饮水:充足的水分可以帮助稀释胃液,减少结石形成的机会。及时就医:一旦进食上述食物出现腹痛等,应及时就医,选择合适的治疗方案。

3、规律作息:保持良好的生活习惯,避免熬夜和过度劳累,有助于维持正常的胃肠道功能。
4、定期体检:定期进行胃部检查,及时发现和治疗潜在的问题。
(撰稿:张旭晴 审核:刘玉卿)

